

نجح مستشفى الدكتور سليمان الحبيب بالريان، في إجراء عملية دقيقة لاستئصال ورم بالدماغ، لإنهاء معاناة مراجعة في العقد الرابع من العمر، تشكو من فقدان النظر بالعين اليسرى والصداع المتكرر، مع تناقص مستمر في مستوى الإبصار بالعين اليمنى. ذكر ذلك الدكتور "ديفيد برو" استشاري جراحة المخ والأعصاب والعمود الفقري رئيس الفريق الطبي المعالج، والحاصل على دبلوم الدراسات المتخصصة الفرنسية "DES" في جراحة المخ والأعصاب والعمود الفقري.
والذي أضاف فور وصول المريضة للعيادة والاستماع إلى شكواها والاطلاع على ملفها الطبي: تبين أنها تشكو من الصداع المستمر وتدهور حدة الإبصار آخر 6 أشهر، وقد زارت عددًا من المراكز الطبية في محاولة منها للعلاج، ولكن دون جدوى أو إيجاد حلّ لمشكلتها الصحية، خاصة مع تأثير تلك الأعراض على ممارسة مهامها اليومية.
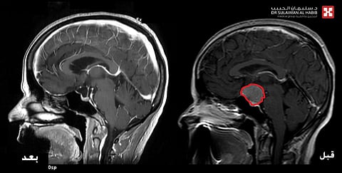
وقال الدكتور ديفيد: إنه تمّ إخضاع المراجعة لفحوصات بالرنين المغناطيسي "M.R.I"، وعدد من التحاليل المخبرية، مشيرًا إلى أنّ نتائج الفحوصات كشفت عن وجود ورم بقطر "3" سم، متمركز في قاع الجمجمة بمنتصف الدماغ، وضاغط بشدة على عصبَي البصر والغدة النخامية المسؤولة عن الهرمونات بالجسم، وعقب مراجعة كافة الفحوصات قرّر الفريقُ الطبي التدخلَ الجراحي العاجل لاستئصال الورم؛ للحيلولة دون إصابة المريضة بمزيد من المضاعفات الخطيرة أبرزها فقدان البصر بشكل كامل، بالإضافة إلى ازدياد حدة الأعراض وحدوث خلل بهرمونات الجسم.
مضيفًا: أنه عقب اتخاذ كافة التدابير اللازمة، تمّ إخضاع المراجعة لعملية دقيقة استغرقت 8 ساعات متواصلة تحت التخدير الكامل، باستخدام الميكروسكوب المتطور "Pentero"؛ إذْ تمّ تحرير الورم بحرص شديد من التصاقاته بالعصب البصري والغدة النخامية واستئصاله بالكامل.
مؤكِّدًا أنّ جهود الفريق الطبي تكلّلت بالنجاح ولله الحمد؛ حيث نقلت للعناية المركزة، وقد أبانت المؤشرات الحيوية في الساعات الأولى تحسنًا كبيرًا في حالتها الصحية، واستكمل علاجها بإعطائها الأدوية اللازمة لضبط نسب الهرمونات بالجسم. وقد خرجت من المستشفى في اليوم السابع بعد أن انتهت لديها مشاكل الصداع المستمرّ وتحسن في درجة الرؤيا.