

تمكن فريق طبي من مدينة الملك سعود الطبية، عضو تجمع الرياض الصحي الأول من إنقاذ حياة مقيم تعرض للإصابة في منطقة الصدر.
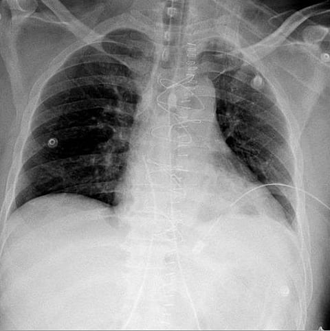
حيث تم نقله بشكلٍ عاجل لطوارئ المدينة الطبية؛ كانت حالته خلالها غير مستقرة مع هبوط في الدورة الدموية واختلال للوعي مع وجود انتفاخ في الأوردة الوداجية، بضغط يصل إلى 60/43.
وأكدت الأشعة الصوتية وجود تجمع دموي حول القلب في تجويف التامور مع وجود استرواح هوائي حول الرئة اليسرى، ليتم نقله مباشرة إلى غرفة العمليات بواسطة الفريق الطبي المكون من استشاري الإصابات د. زيسس تولوميس، وزميل جراحة الإصابات د. أحمد فلاتة، وأخصائي الجراحة العامة د. أسرار الوادعي، ويترأسها استشاري ورئيس مركز الإصابات د. شرف الدين شودري.
وتم فتح صدر المريض من خلال عظمة القص، وتحرير القلب من الضغط المتكون من تجمع الدم في تجويف التامور، بعد ذلك تم التحكم بالنزيف وإصلاح عضلة القلب، وبتوفيق الله تحسن المريض وغادر العناية المركزة بعد يومين وهو بصحة جيدة.
يشار إلى أن الإصابات النافذة للقلب تعتبر نادرة جدًا وتؤدي إلى الوفاة بنسبة عالية –لا قدر الله-، حيث تتطلب مركز إصابات متخصص للتعامل مع هذه الحالات في وقت قياسي.