

نجح مستشفى الدكتور سليمان الحبيب بالخبر، في إجراء عملية دقيقة ومعقدة لاستئصال ورم بالمخ طوله 6 سم، لطفل يبلغ من العمر 7 سنوات، سبب له مضاعفات حادة؛ ذكر ذلك الدكتور وسام العيساوي استشاري جراحة المخ والأعصاب والعمود الفقري رئيس الفريق الطبي المعالج.
وأضاف: أنه فور وصول الطفل للعيادة، والاستماع إلى شكوى ذوي الطفل، تبيّن أنه عانى على مدار عدة أشهر من أعراض حادة تمثلت في شعوره بآلام في الرأس وصداع شديد ودوران مستمر، وعلى الفور تمّ إخضاعه لعدد من الفحوصات الطبية الدقيقة، والتي شملت التصوير بالرنين المغناطيسي "M.R.I" والأشعة المقطعية "C.t Scan" والتحاليل المخبرية.
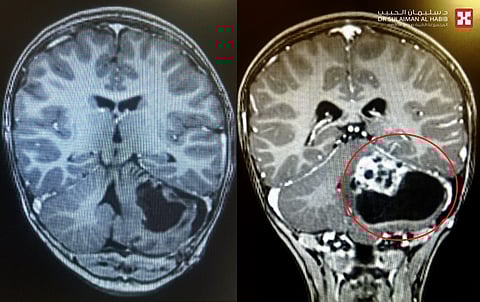
مشيرًا إلى أن نتائج الفحوصات أظهرت وجود ورم كبير ونشط بطول 6 سم في المخيخ الأيسر، على الفور تم تكوين فريق طبي من استشاريّي جراحة المخ والأعصاب وطب الأطفال والتخدير، وعقب الانتهاء من دراسة كافة نتائج الفحوصات، تقرّر إجراء التدخل الجراحي العاجل؛ وذلك للحيلولة دون إصابة الطفل بمزيد من المضاعفات الخطرة لا قدر الله.
وعن العملية قال الدكتور العيساوي: إن الجراحة استغرقت 3 ساعات متواصلة تحت التخدير الكامل، وتمّ فيها تحرير الورم واستئصاله كاملًا ولله الحمد، وذلك باستخدام تقنيات الميكروسكوب الجراحي المتطور والمراقبة العصبية، وكذلك الاستعانة بأجهزة حديثة لمساعدة الجراح أثناء العملية في دقة استئصال الورم وحماية خلايا المخ السليمة، وعدم الإضرار بالأوعية الدموية والمراكز الحيوية المحيطة بالورم، وفي نفس الوقت عدم ترك أية أجزاء منه، نقل بعدها الطفل للعناية المركزة لمدة 24 ساعة.
وأكد الدكتور العيساوي أن جهود الفريق الطبي تكللت بالنجاح ولله الحمد؛ إذ أوضحت الفحوصات الأولية تحسن المؤشرات الحيوية للطفل، وفي اليوم الثاني تم نقله لجناح التنويم وتلقّى رعاية طبية فائقة على مدار 3 أيام، خرج بعدها إلى منزله وهو بصحة جيدة، بعد أن انتهت لديه كافة الأعراض المرضية السابقة.
الجدير بالذكر أن قسم جراحة المخ والأعصاب والعمود الفقري في مستشفى الدكتور سليمان الحبيب بالخبر، يعمل به نخبة من الكفاءات الطبية، ويقدم حزمة كبيرة من خدمات الرعاية الصحية المستوفية لأعلى معايير الجودة؛ حيث تُجرى فيه العمليات الميكروسكوبية للمخ والأعصاب، والعيوب الخلقية لحديثي الولادة والأطفال، وكذلك الأمراض التي تصيب العمود الفقري، وأورام قاع الجمجمة والصرع والأوعية الدموية الدماغية والقسطرة، كما تتم معالجة آلام الظهر، وخشونة والتهابات الفقرات.