

بفضلٍ من الله أعاد فريق طبي متخصّص في جراحة العظام والمفاصل، بمستشفى الدكتور سليمان الحبيب بالخُبر، القدرة على الحركة والمشي لسيدة في نهاية العقد السابع من العمر، عانت لعشر سنوات تصلباً في الركبة اليسرى وآلاماً شديدة وتقوساً حاداً وصعوبة في النوم؛ الأمر الذي أفقدها القدرة على ممارسة حياتها بصورةٍ طبيعية واعتياد استخدام الكرسي المتحرّك.
هذا ما ذكره الدكتور محمد سكيك؛ استشاري جراحة العظام والكسور رئيس الفريق الطبي المعالج الحاصل على الزمالتين البريطانية والكندية، والذي أضاف أنه فور وصول المريضة للعيادة وبالفحص السريري، تبيّن أنها أجرت قبل 5 سنوات عملية استبدال مفصل في الركبة اليمنى فقط، وحاولت مراراً السيطرة على مشكلتها في الركبة اليسرى عبر استخدام الإبر الزيتية والكورتيزون، لكن دون فائدة، وعليه قررت المريضة القدوم للمستشفى لعلاج مشكلتها.
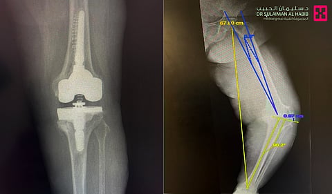
وأشار الدكتور سكيك؛ إلى أن نتائج الفحوصات المخبرية وأشعة (Digital X-Ray) والرنين المغناطيسي (M.R.I) أثبتت وجود خشونة شديدة من الدرجة المتقدمة، فضلاً عن تقوس حاد بالركبة اليسرى أدّى إلى ضعف العصب وبالتالي عدم قدرتها على فرد الساق أو رفعها لأعلى، إضافة إلى إصابتها بهشاشة العظام وتآكلٍ شديدٍ في عظام أسفل المفصل، وبعد إجراء دراسة دقيقة للنتائج كافة، قرّر الفريق الطبي التدخل جراحياً.
وقال استشاري جراحة العظام إنه بعد استكمال الفحوصات الطبية واتخاذ الترتيبات اللازمة، أُجريت للمريضة عملية جراحية دقيقة استغرقت 3 ساعات متواصلة تحت التخدير الجزئي، وتمّ فيها معالجة التقوس، ومن ثم استبدال المفصل بآخر جديد من مادة "التيتانيوم" الذي يتيح سلاسة الحركة والعمر الطويل من الاستخدام، علاوة على تعويض تآكل العظام بوضع دعامات خاصة من مادة "التانتيلوم".
وفي الختام، أكّد الدكتور محمد سكيك؛ أن جهود الفريق الطبي تكللت بالنجاح التام، ولله الحمد، إذ نقلت المريضة لجناح التنويم بعد العملية، وفي اليوم الأول استطاعت الوقوف والمشي التدريجي، وتلقت رعاية طبية فائقة على مدار 4 أيام، عادت بعدها إلى منزلها وهي بصحة جيدة عقب إنتهاء الآلام والأعراض كافة، التي أرهقتها على مدار 10 سنوات كاملة، مفيداً بأنه تمّ إعداد برنامج علاج طبيعي تأهيلي للمريضة، وذلك لتقوية العضلات والأعصاب لمدة 6 أسابيع.