

تَمكن فريق جراحة الصدر بمجمع الملك فيصل الطبي بالطائف، بعد توفيق الله تعالى، من إنقاذ طفل ابتلع جسمًا غريبًا (صافرة).
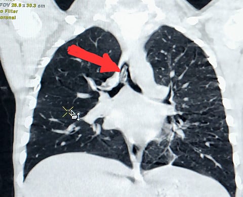
ووفقًا لما ذكرته صحة الطائف لـ"سبق"؛ فقد كان الطفل الذي يبلغ من العمر 3 سنوات، قد حضر مع ذويه إلى طوارئ المجمع، يعاني من اختناق شديد مصحوبًا بصوت تصفير مع كل تنفس للطفل، وبعد الكشف عليه اتضح وجود جسم غريب، سقط في مجرى الهواء.
ومع انتهاء الكشف، قرر فريق طبي مكون من أطباء جراحة الصدر وأطباء التخدير، على الفور، إجراء عملية منظار عاجلة لاستخراج الجسم؛ حيث استغرق الإجراء الطبي 20 دقيقة، وتبين بعد استخراج الجسم أنها صافرة ابتلعها الطفل أثناء اللعب.
وأكدت "صحة الطائف" استقرار حالة الطفل بعد ذلك حيث عاد له التنفس بشكل طبيعي، ليأذن له الفريق الطبي بمغادرة المجمع وهو بصحة جيدة ولله الحمد.