

خضعَ شاب عشريني، تعرّضَ لعدة طعنات في صدره، لتدخلات جراحية بسيطة، من قبل فريق جراحة الصدر بمستشفى الملك عبدالعزيز التخصصي بالطائف، والذي ساهمَ في إنقاذه بعد قدرة الله سبحانه.
وقد تم تحويل المريض بشكل طارئ من الخرمة وهو يعاني من تجمّع حادّ للسوائل حول القلب، وذلك بإجراء جراحي مصغر، ودون تخدير كامل للمريض.
وقال رئيس أقسام الجراحة بمستشفى الملك عبدالعزيز التخصصي، وعضو هيئة التدريس بكلية الطب بجامعة الطائف الدكتور محمد عيد محفوظ: إن المريض تم تحويله بشكلٍ طارئ نتيجةً لتدهور حالته العامة، وعدم قدرته على التنفس؛ على إثر طعنات بمنطقة الصدر.
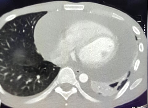
وأضاف: تم تشخيصه بالتخصصي بشكلٍ عاجل بعد إجراء اللازم بوجود تجمع حاد للسوائل والدم داخل الغشاء التيموري للقلب، مع التهاب الغشاء التيموري، وتقرر بموجبه إجراء جراحة عاجلة لتفريغ السوائل حول القلب لإنقاذ حياته.
وتابع: "تم التعامل فوراً مع الحالة، حيث لم يكن بالإمكان تخدير المريض بشكلٍ كامل؛ نتيجةً لحالته الحرجة جداً، وتقرر عمل فتحة واحدة صغيرة (3 سم) مباشرةً على القلب تحت التخدير الموضعي، حيث تم من خلالها فتح نافذة بالغشاء التيموري للقلب؛ لتفريغ ما يقارب اللتر ونصف اللتر سوائل من حول عضلة القلب، واستئصال جزء متورم من الغشاء التيموري".
وأردف: ولله الحمد تكللت العملية بالنجاح، حيث عاد المريض لتنفسه الطبيعي بعد عدة ساعات من إجراء العملية.
وقال المتحدث الرسمي لـ"صحة الطائف" عبدالهادي الربيعي: إن ذلك تحقق بفضل الله ثم الكادر الطبي بقيادة الطبيب محمد عيد رئيس أقسام الجراحة، وفريقه المساعد بالعملية الدكتور مسعد محمود عبدالله، والدكتور محمد طارق السيد.
وأشار إلى أن الفريق الطبي نجح بفضل الله بإنقاذ حياة المريض، حيث تعافى سريعاً بعد ثلاثة أيام من إجراء العملية، وغادر المستشفى وهو بصحةٍ جيدة.