

أسهم فريق طبي جراحي بمستشفى ينبع العام، في إنهاء معاناة مريضة كانت تشكو آلاماً حادة بمنطقة البطن.
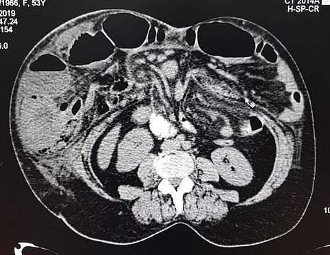
وفي التفاصيل، أنه بعد إجراء الفحوص الطبية اللازمة للمريضة تبيّن وجود فتق كبير بالأمعاء سبّب لها انسداداً معوياً؛ ما استدعى القيام بتدخل جراحي سريع.
وأجريت للمريضة عملية فتح لمنطقة البطن لإصلاح جدار البطن ومن ثم وضع شبكة برولين لتدعيم منطقة الفتق، وبحمد الله تماثلت المريضة للشفاء، وهي بصحة جيدة.