جازان .. منظار جراحي ينقذ مريضًا 75 عامًا من تجمُّع مُزمن على الرئة
استطاع أطباء جراحة الصدر بمستشفى الملك فهد المركزي بجازان إجراء منظار جراحي لمريض يبلغ من العمر 75 عامًا لإزالة تجمع مائي على الرئة.
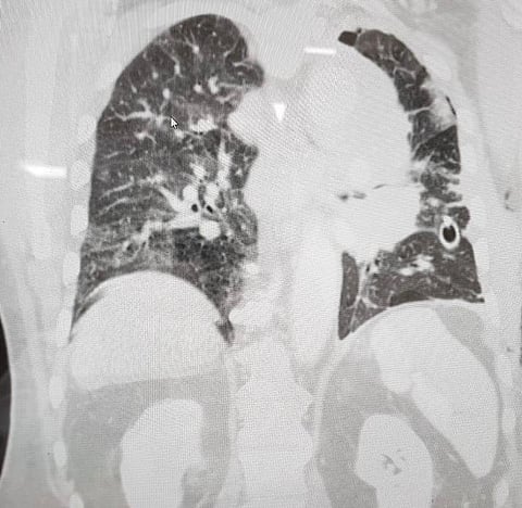
المريض كان يعاني تجمعًا مائيًا مزمنًا على الرئة اليسرى نتج عنه آلام شديدة بالصدر والذي تسبب أيضًا بانكماش تام بالرئة مع ترحيل للفراغ المنصف ووجود ورم على الشريان الأبهر والرئوي الأيسر مع تكتلات في الغدد الليمفاوية استدعى التدخل الطبي لتحرير الغشاء البلوري وأخذ عينات عن طريق الشق الصدري.
وقد قرر الفريق الطبي المعالج أنه نظرًا لعمر المريض 75 عامًا أن الشق الصدري يحمل خطورة عليه وقد تقرر إجراء عمل منظار لجراحة الصدر وبفضل الله تمكن الأطباء من إجراء المنظار بالتعاون مع قسم التخدير بإجراء التخدير عن طريق أنبوبة حنجرية مزدوجة المسار بفصل الرئة اليسرى بالكامل أثناء الجراحة وقد تمت العملية بنجاح.
وأسهم نجاح العملية في عدم احتياج المريض لدخول العناية المركزة حسب المتبع في مثل هذه الحالات، وقد أدخل لجناح التنويم ومتابعته من قِبل الفريق المعالج حتى غادر المستشفى بصحة وعافية.

