

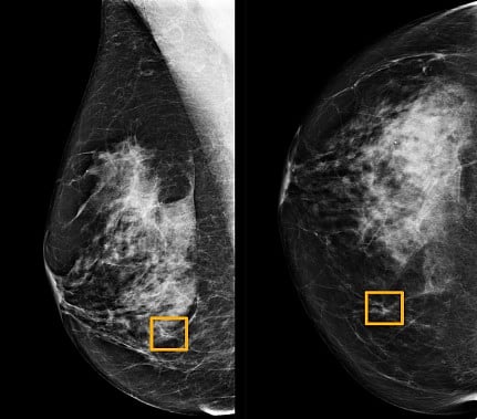
ذكر باحثون في الولايات المتحدة وبريطانيا، أن نظامًا للذكاء الاصطناعي بجوجل، أثبت دقة مماثلة لدقة خبراء الأشعة في اكتشاف النساء اللاتي أصبن بسرطان الثدي؛ استنادًا إلى تصوير الثدي بالأشعة السينية، وأظهر كفاءة في تقليص الأخطاء.
والدراسة التي نُشرت في دورية "نيتشر"، هي أحدث بحث يُظهر أن الذكاء الاصطناعي لديه إمكانية تحسين دقة الفحص لسرطان الثدي الذي يصيب امرأة من كل ثماني نساء في العالم.
وتقول الجمعية الأمريكية للسرطان: إن نسبة الخطأ لدى أطباء الأشعة في تشخيص سرطان الثدي من خلال التصوير بالأشعة السينية؛ تبلغ 20%، وإن نصف النساء اللائي خضعن للفحص خلال فترة عشر سنوات؛ جرى خطأ تشخيص إصابتهن بالمرض.
وقال "موزيار": اعتمادي أحد المشاركين في إعداد الدراسة من كلية الطب بجامعة نورث ويسترن، أن نتائج الدراسة التي وُضعت بالتعاون مع وحدة (ديب مايند) للذكاء الاصطناعي بجوجل التابعة لألفابت التي اندمجت مع "جوجل هيلث" في سبتمبر، تمثّل تقدمًا كبيرًا في إمكانية الاكتشاف المبكر لسرطان الثدي.
وقام الفريق، الذي شَمِلَ باحثين من إمبريال كوليدج لندن والخدمة الصحية الوطنية في بريطانيا، بتدريب النظام على تحديد سرطان الثدي على عشرات الآلاف من فحوص الثدي بالأشعة السينية.
ثم قارنوا توقعات النظام بالنتائج الفعلية لمجموعة تشمل 25856 تصويرًا بالأشعة السينية للثدي في بريطانيا و3097 في الولايات المتحدة.
وأظهرت الدراسة أن نظام الذكاء الاصطناعي تمكّن من تحديد الإصابة بالسرطان بدرجة مماثلة لدقة خبراء الأشعة؛ في حين خفض عدد النتائج الإيجابية الخاطئة بواقع 5.7% في المجموعة الموجودة في الولايات المتحدة وبنسبة 2.1% في تلك الكائنة في بريطانيا.
وخفض كذلك النتائج السلبية الخاطئة، التي صنفت الاختبارات خطأ على أنها طبيعية، 9.4% في المجموعة الأمريكية و2.7% في المجموعة البريطانية.
وتعكس هذه الاختلافات طرق قراءة نتائج تصوير الثدي بالأشعة السينية؛ ففي الولايات المتحدة، يقرأ خبير أشعة واحد فقط النتائج، وتجرى الاختبارات كل عام أو عامين. أما في بريطانيا، فتجرى الاختبارات كل ثلاث سنوات، ويطلع على كل منها خبيران للأشعة. وعندما يختلفان يستشار خبير ثالث.