

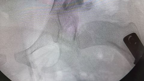
في إنجاز طبي لافت، نجح فريق طبي من قسم جراحة العظام في مستشفى المانع بالخبر، بقيادة استشاري جراحة عظام الأطفال الدكتور إبراهيم البراهيم، في إجراء عملية دقيقة لطفلة تبلغ من العمر أربع سنوات كانت تعاني من خلع ولادي مزدوج في مفصل الورك وتشوه في رأس عظمة الفخذ مع انحراف في عنق العظمة بالجهتين.
وأوضح الفريق الطبي أن هذا النوع من العمليات يُجرى عادة في عمر السنة، ما يجعل نجاحها في هذا العمر المتأخر إنجازًا طبيًا يُحسب للمستشفى وللكادر الجراحي بفضل خبرتهم وكفاءتهم العالية.
وأكدت إدارة المستشفى أن العملية تكللت بالنجاح الكامل، حيث استعادت الطفلة عافيتها بفضل التنسيق المتكامل بين أقسام جراحة العظام والتخدير والتمريض.
ويأتي هذا النجاح ضمن التزام مستشفيات المانع بتقديم رعاية طبية متخصصة وفق أعلى المعايير العالمية، وتعزيز خبراتها في جراحات الأطفال الدقيقة لضمان سلامة المرضى وجودة الخدمات الصحية المقدمة.