

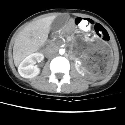
أنقذ فريق طبي متخصص في وحدة الأشعة التداخلية بمجمع الملك فيصل الطبي عضو تجمع الطائف الصحي، حياة شابة تبلغ من العمر عشرين عامًا كانت تواجه خطرًا محدقًا؛ بسبب ورم شحمي وعائي عظمي كبير في الكلية اليسرى، كشفه التشخيص الدقيق عبر الأشعة المقطعية؛ حيث كان الورم يهدد بنزيف حاد قد يعرّض حياتها للخطر.
وفي مواجهة هذا التحدي، استخدم الطاقم الطبي تقنية القسطرة والأشعة التداخلية لإصمام الأوعية الدموية المغذية للورم؛ مما أتاح إجراء العملية دون اللجوء إلى التدخلات الجراحية الكبيرة.
وتمت العملية تحت تخدير موضعي؛ مما قلل من المخاطر والمضاعفات المحتملة بشكل ملحوظ.
وكانت النتيجة نجاحًا -بفضل الله- حيث تماثلت الشابة للشفاء تمامًا، وأثبتت العملية فعاليتها وأمانها؛ معززةً بذلك سمعة مجمع الملك فيصل الطبي كمركز رائد في الرعاية الصحية المتقدمة والتدخلات الطبية الدقيقة.