مجمع الملك فيصل الطبي بالطائف ينقذ مريضة من ورم عصبي ضخم
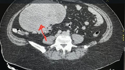
في إنجاز طبي، تمكن الفريق الجراحي بقسم الجراحة العامة في مجمع الملك فيصل الطبي عضو تجمع الطائف الصحي، من إنقاذ حياة مريضة في الأربعينات من عمرها، من خلال عملية دقيقة لاستئصال ورم نادر وضخم داخل البطن استمرت لمدة 6 ساعات.
واستُخدمت تقنية المنظار الجراحي المتطور لاستئصال الورم والجزء المتأثر من الأمعاء بنجاح تام، وتتعافى المريضة حاليًا بوتيرة مبشرة ومستقرة.
وكان اكتشاف الورم بمحض الصدفة عبر أطباء الأشعة في المجمع، وبعد التشخيص الدقيق من قبل أطباء الأنسجة وتقييم الحالة بعناية، تقرر إجراء العملية الجراحية.
ويُعد الورم الذي تم استئصاله من الأورام العصبية في جدار الأمعاء ويُصنف ضمن الحالات النادرة عالميًا.
يشار إلى أن قسم الجراحة بمجمع الملك فيصل يُعرف بتقديم خدمات طبية على مستوى عالٍ، معززًا بأحدث التقنيات الجراحية وكفاءات طبية مميزة، حيث يشكل هذا النجاح شهادة على الخبرة والمهارة في جراحات المناظير المتقدمة.

