

استقبلت مستشفيات المانع – فرع الأحساء، قسم جراحة المخ والأعصاب، مريضًا يعاني من صداع مستمر وضعف (شلل) في النصف الأيسر من جسمه مع فقدان الإحساس به.
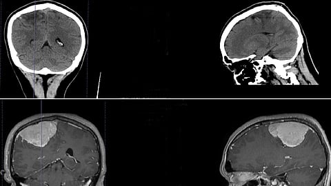
وبعد إجراء الفحوصات الطبية المتقدمة، تبيّن وجود ورم دموي ضخم ضاغط على مراكز الحركة والإحساس بالمخ، مما شكل خطورة بالغة على حياته.
ونظرًا لخطورة هذه الحالة وتعقيدها، تم على الفور تحضير المريض لإجراء عملية جراحية دقيقة تُعد من أصعب وأدق جراحات المخ والأعصاب نظرًا لملاصقة الورم للمراكز الحيوية بالمخ وصعوبة استئصاله.
وبفضل الله ثم بفضل خبرة الكادر الطبي في القسم، وباستخدام أحدث التقنيات العالمية في هذا المجال مثل التدخل المحدود والميكروسكوب الجراحي، أُجريت العملية عبر جرح صغير لم يتجاوز 5 سم فقط.
العملية تكللت بالنجاح، حيث تعافى المريض تدريجيًا واستعاد قدرته على الحركة والإحساس في النصف الأيسر من جسمه، ليتمكن من المشي مرة أخرى بشكل طبيعي، ويغادر المستشفى بعد أيام قليلة فقط من التدخل الجراحي.
هذا الإنجاز يُسجّل سطرًا جديدًا من قصص النجاح والريادة في قسم جراحات المخ والأعصاب بفرع الأحساء – مستشفيات المانع، ويؤكد التزامنا الدائم بتقديم رعاية صحية متقدمة وفق أعلى المعايير الطبية العالمية.