

استأصل الفريق الطبي بجراحة المخ والأعصاب بمستشفى الملك عبدالعزيز التخصصي بالطائف ورمًا حميدًا سحائيًا معقدًا في قاعدة الجمجمة لمريض بالعقد الرابع من عمره كان يعاني من ضعف البصر حاد في العين اليسري وآلام صداع مستمرة.
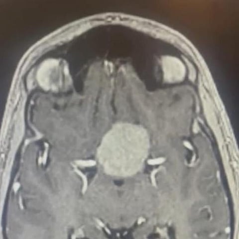
وفي التفاصيل، قام المريض بمراجعة عيادة المخ والأعصاب بسبب شكواه التي عرقلته عن ممارسة حياته الطبيعية، وبعد إجراء الفحوصات السريرية والمخبرية والإشعاعية تم اكتشاف ورم سحائي في حديبة السرج التركي في قاع الدماغ.
وعلى الفور، قرّر الفريق الطبي إجراء عملية جراحية باستخدام تقنية المجهر الدقيق تم خلالها إزالة الصفائح العظمية وفتح غشاء الأم الجافية الأم حتى الوصول إلى مكان الورم الحساس بين أهم شرايين وأعصاب الدماغ، ومن ثم تم استئصاله بالكامل دون وقوع ضرر للدماغ خلال أكثر من 4 ساعات بغرفة العمليات.
وتكللت العملية بالنجاح، واستطاع المريض النهوض والسير على قدميه دون أي مضاعفات، وبعد فترة خرج المريض، وتم استكمال الخطة العلاجية والعلاج التأهيلي ومتابعة حالته بالعيادات الخارجية التي ولله الحمد أكدت تحسُّن حالته بشكل كبير.