

باشر مجمع الملك فيصل الطبي بالطائف، حالة مريض يبلغ من العمر 59 عامًا يعاني من ضعف مفاجئ في الجانب الأيمن من الجسم، مع تدهور في درجة الوعي.
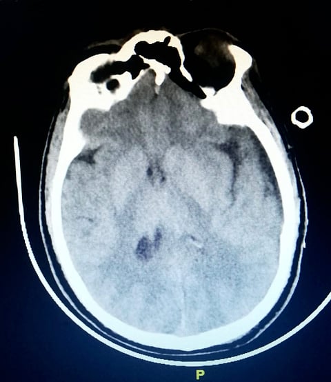
وأوضحت صحة الطائف في بيان وصل "سبق" أنهُ "بعد إجراء الأشعة المقطعية للمخ تبين وجود تجمع دموي ما بعد الحاد كبير تحت الأم الجافية على الفص الأمامي والجانبي والصدغي الأيسر بالمخ، مع بداية تحرك لهم إلى الجانب الأيمن "بداية فتق مميت للمخ"، كما أظهرت التحاليل نقصًا شديدًا في الصفائح الدموية".
وقالت: "على الفور قرر الفريق الطبي إدخال المريض العناية المركزة وتجهيزه لإجراء جراحة عاجلة، وإعطاءه صفائح دموية قبل وأثناء الجراحة".
وأضافت: "استغرقت العملية الجراحية ساعة ونصف الساعة، تم خلالها فتح ثقبين جراحيين بالجمجمة؛ واحد في العظمة الأمامية اليسرى، والآخر في العظمة الجانبية اليسرى، وفتح للأم الجافية وتفريغ كامل للنزيف، خرج المريض للعناية المركزة لاستكمال العلاج، وقد تحسن الضعف تمامًا، مع رجوع المريض لأعلى درجات الوعي دون مضاعفات".
وغادر المريض المجمع وهو بصحة جيدة، على أن يُتابع متابعات دورية في عيادة المخ والأعصاب.