

نجح فريق طبي بمستشفى الملك عبدالعزيز التخصصي (عضو تجمع الطائف الصحي) - بفضل الله تعالى – في إزالة ورم سرطاني من قاع جمجمة مريضة، كانت تعاني صداعًا مزمنًا، ومشاكل في الرؤية.
وفي التفاصيل، جاء ذلك بعد نجاح عملية جراحية معقدة، أجراها الفريق للمريضة التي اكتُشف وجود ورم سرطاني في قاع الجمجمة لديها؛ فاستخدم الفريق الطبي الميكروسكوب الجراحي لاستئصاله بشكل كامل، وبدقة متناهية، دون التسبب في أية مضاعفات.
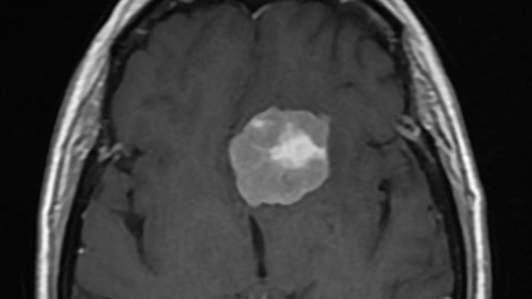
وتعود الحالة لمريضة، كانت تشتكي من صداع مزمن، ومشاكل في الرؤية؛ فقرر الفريق الطبي إخضاعها للفحوصات السريرية والإشعاعية التي كشفت عن ورم يضغط على منتصف الدماغ، ويحيط به شرايين دموية حساسة عدة، وأعصاب.
وبعد التشاور الدقيق مع وحدات المخ والأعصاب وطب التخدير تم اتخاذ قرار بإجراء الجراحة، التي استغرقت أكثر من 5 ساعات.
وتكللت العملية بالنجاح بفضل الله، ثم الكفاءة العالية والخبرة الواسعة للفريق الطبي؛ إذ تمت إزالة الورم، وتمكنت المريضة من النهوض والمشي بنفسها بعد الجراحة دون وجود أية مضاعفات.
وتواصل المريضة حاليًا العلاج التأهيلي والمتابعة المستمرة في العيادات الخارجية، التي أكدت تحسُّن حالتها الصحية بشكل كبير.