

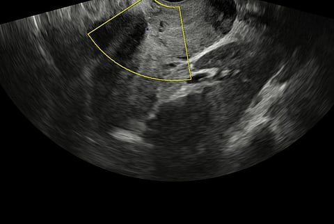
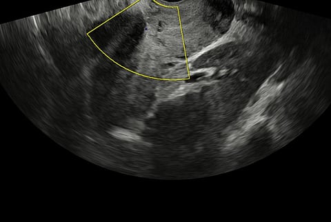
نجح مستشفى المانع العام بالدمام في إنقاذ حياة أم وجنينها بعد التعامل مع واحدة من أخطر حالات الحمل والولادة، والمتمثلة في المشيمة المنزاحة المصحوبة بالتصاق المشيمة، وهي حالة تُعد من أعلى حالات التوليد خطورة لما تحمله من احتمالية نزيف حاد قد يهدد حياة الأم.
وتعود تفاصيل الحالة إلى سيدة تبلغ من العمر 36 عامًا في الأسبوع الخامس والثلاثين من الحمل، حيث جرى تشخيص الحالة بدقة خلال فترة المتابعة الطبية، ووُضعت خطة علاجية مسبقة شاملة، تضمنت تجهيز فريق طبي متعدد التخصصات واختيار التوقيت والمكان الأنسب للتدخل، بما يضمن أعلى درجات السلامة للأم والجنين.
وأوضح الدكتور أحمد السايح، استشاري أمراض النساء والتوليد، أن التعامل مع مثل هذه الحالات يتطلب تشخيصًا مبكرًا وتخطيطًا دقيقًا، مشيرًا إلى أن الفريق الطبي قام بتجهيز الحالة قبل العملية للحد من النزيف المتوقع، تلاه إجراء ولادة قيصرية مخططة في ظروف طبية مسيطر عليها بالكامل، مع استئصال الرحم القيصري بخطوات دقيقة.
وأضاف أن هذا التدخل أسهم، بفضل الله، في إنقاذ حياة الأم وولادة الجنين بسلام، دون الحاجة إلى نقل دم، وهو إنجاز نادر في مثل هذه الحالات عالية الخطورة.
وأكدت إدارة المستشفى أن هذا النجاح يعكس كفاءة الكوادر الطبية وجاهزية مستشفى المانع العام بالدمام للتعامل مع أدق وأخطر حالات التوليد، ويجسّد أهمية التشخيص المبكر والتخطيط الدقيق والعمل الجماعي في إنقاذ الأرواح.