

بفضل من الله- نجح مستشفى الدكتور سليمان الحبيب بالريان في إنقاذ حياة طفل رضيع "6 أشهر"، تعرض لحادث عرضي، وأصيب بكسر في الجمجمة ونزيف حاد في الدماغ تسبب في فقدان جزئي للوعي، ذكر ذلك د. ديفيد حسنين برو استشاري جراحة المخ والأعصاب والعمود الفقري بالمستشفى ورئيس الفريق الطبي المعالج.
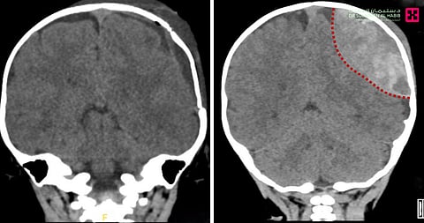
وقال د. حسنين الحاصل على البورد الفرنسي أن الطفل أسعف إلى المستشفى الساعة الثانية صباحاً، بعد معاناة مع نوبات استفراغ متلاحقة، وتراجع في مستوى الوعي، وفور وصوله تلقى العلاجات الأولية، ومن ثم أخضع لعدة فحوصات دقيقة، أبرزها أشعة C.T- scan للرأس، التي بينت نتائجها وجود كسر في الجمجمة، بالإضافة إلى نزيف داخلي كون تجمعاً دموياً ضخماً شكل ضغطاً كبيراً على المخ.
حيث أجريت له عملية في الثالثة صباحاً تحت التخدير العام، عن طريق فتح جلد الرأس والجمجمة وإزالة الدم المتجمع برفق ودقة شديدة، ووقف النزيف الدموي وإصلاح كسر الجمجمة وإعادة العظم إلى وضعه الطبيعي بنجاح تام، واستغرقت العملية نحو ساعة ونصف الساعة، وتكللت جهود الفريق الطبي ولله الحمد بنجاح كبير، ونُقل الطفل إلى العناية المركزة بحالة مستقرة، قبل أن يتم تحويله بعد 48 ساعة إلى غرفة تنويم عادية، وتحسنت صحة الطفل باضطراد مع العناية الطبية الحثيثة إلى أن غادر المستشفى بعد "4" أيام من العملية وهو بحالة صحية جيدة، وقد تخلص من كافة الأعراض التي قادته إلى المستشفى.
وأوضح د. ديفيد أن التحدي الأساسي في هذه الحالة هو سرعة التدخل الجراحي، إذ أن حدوث النزيف يؤدي إلى انقطاع التروية الدموية لأنسجة الدماغ، والتأخير في إعادة حركة الدم إلى وضعها الطبيعي، قد يترتب عليه تموت الأنسجة الدماغية وفقدانها لوظيفتها، والتسبب في الكثير من المضاعفات التي تنتهي بالوفاة لا سمح الله.
الجدير بالذكر أن مستشفيات مجموعة الدكتور سليمان الحبيب الطبية، تتوفر فيها كافة الإمكانات التي تساعدها على تقديم رعاية صحية متكاملة، لمرضى جراحات المخ والأعصاب والأنف والأذن والحنجرة، من خلال جراحين ذوي كفاءة وخبرة عالية، مع توفر غرف عمليات مزودة بأحدث التقنيات وعيادات تشخيصية مجهزة وكذلك وحدة عالية التجهيز للعناية المركزة ICU التي تقدم كافة وسائل الرعاية لهؤلاء المرضى.