
نجح مستشفى الدكتور سليمان الحبيب بالقصيم، في إجراء عملية نوعية وناجحة باستبدال مفصل كتف؛ أنهت معاناة مراجع "ستيني" كان يشكو لفترة طويلة من عدة أعراض حادّة، وخاض رحلة بحث طويلة عن العلاج، حيث زار عدة مستشفيات، وخضع للعلاج الطبيعي والحقن الموضعية، دون أن تتحسَّن حالته.
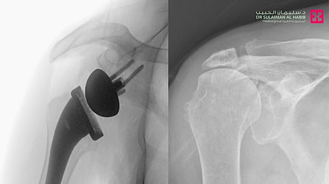
وقال د. علاء محمد حمدان؛ استشاري جراحة العظام والمفاصل، رئيس الفريق الطبي المعالج، إن المراجع زار المستشفى مشتكياً من أعراض متزايدة، بدأت بآلامٍ في الكتف اليمنى، ثم تطوّرت تدريجياً مع مرور الوقت، إلى أن أصبح عاجزاً عن رفع ذراعه، وعن أداء مهامه اليومية، مضيفاً أن الفريق الطبي بعد المعاينة السريرية أجرى له حزمة فحوصات طبية دقيقة؛ مخبرية وأشعة الرنين المغناطيسي Mri، والأشعة السينية X- ray، وأظهرت النتائج وجود قطعٍ مزمنٍ وانكماشٍ في "3" من أوتار الكتف، مع عدم إمكانية ترميمها أو إصلاحها، كذلك ضعف وضمور في العضلات واحتكاك في المفصل.
واستطرد د. حمدان موضحاً، أن الفريق الطبي درس الحالة، وخَلُصَ إلى أن التدخُّل المناسب للحالة هو استبدال مفصل الكتف، وبعد اتخاذ الترتيبات اللازمة، أُجريت له عملية جراحية نوعية، تمَّ فيها أولاً تنظيف محيط المفصل القديم من التكلسات والزوائد العظمية المسبّبة للاحتكاكات، ومن ثم تركيب المفصل الصناعي الجديد الذي يناسب الحالة، ويتميّز بجودته العالية، إذ يساعد على تحقيق المرونة الكاملة للمفصل ومجال أكبر للحركة، واستمرت العملية نحو ساعتين، ومضت وفقاً للخطة العلاجية، وتكللت في النهاية جهود الفريق الطبي بالنجاح التام، ونُقل المراجع بعد الجراحة مباشرة إلى جناح التنويم. وبعد ذلك تمّ البدء بتطبيق برنامج العلاج الطبيعي المكثّف، ومن ثم غادر المستشفى إلى منزله بعد "3" أيام وهو بصحة جيدة، وتوقّع أن تختفي الأعراض التي نغصت حياته التي خفت حدّتها بالفعل، بعد الانتهاء من برنامج العلاج الطبيعي المرسوم له، مضيفاً أنه سيعود لممارسة حياته بصورة طبيعية.
الجدير بالذكر أن مستشفى الدكتور سليمان الحبيب يقدّم خدمات صحية نوعية متخصّصة، على أيدي نخبة من أفضل الكفاءات الطبية وأميزها على مستوى العالم، ومجهّزٌ بأحدث التقنيات الطبية المتطورة؛ الأمر الذي أهّله للحصول على اعتمادات JCI وCBAHI وSRC، وغيرها.