

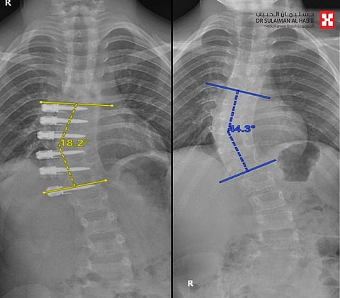
شهد مستشفى الدكتور سليمان الحبيب بالخبر، إجراء أول عملية في الشرق الأوسط لشد العمود الفقري بالمنظار، لطفل يبلغ من العمر 12 عامًا، مصاب بانحراف خلقي متطور "جنف" بدرجة 45، تَسَبب في مَيَلان غير طبيعي أثّر على مظهره الخارجي؛ إذ تمكن الفريق الطبي المتخصص في جراحة العمود الفقري من إجراء العملية بنجاح تام.
وكان الطفل الذي يعاني أيضًا من التوحد قد راجع المستشفى برفقة ذويه، بعد أن لاحظت الأم مَيَلان عموده الفقري بشكل لافت، وخضع لعدة فحوصات دقيقة؛ لا سيما صور الأشعة السينية والمغناطيسية؛ لتحديد درجة الانحراف والتأكد من خلو الحبل الشوكي من التشوهات والعيوب التي قد تكون مسؤولة عن الخلل الصحي المسبب للميلان.. وأظهرت النتائج وجود انحراف بدرجة 45 بالعمود الفقري، وأكدت سلامة الحبل الشوكي من التشوهات.
وقال رئيس الفريق الطبي المعالج د.سلطان السالمي إنه مع إصابة الطفل بالتوحد تَعَذر التعامل مع حالته بالدعامات والحزام الطبي؛ فضلًا عن أن تزايد درجة الانحراف ووصولها إلى 45 وكون المريض ما زال في مرحلة النمو؛ دفعت الفريق الطبي إلى البحث عن خطة علاجية تستصحب كل هذه المعطيات، وبالفعل أُخضِع المريض لعملية متقدمة تسمى بـ"شد العمود الفقري"، وجرت باستخدام المنظار بمساعدة الدكتور زياد الغامدي من جراحة الصدر، وكذلك استخدام جهاز الملاحة العصبية وتخطيط الأعصاب، وتم فيها تعديل درجة الانحراف باستخدام مسامير وحبل جانبي، مع الإبقاء على مرونة العمود الفقري؛ بهدف توجيه وتقويم النمو ليتم التعديل بشكل تلقائي، وتُعَد العملية الأولى من نوعها بالشرق الأوسط.
ووصف د.وليد البوعلي المدير الطبي للمستشفى التدخل الطبي بأنه يمثل نقلة كبيرة في عمليات تعديل انحرافات العمود الفقري؛ مشيرًا إلى أنها تمت بـ4 فتحات صغيرة لم يتجاوز طولها 2 سم؛ على عكس العمليات التقليدية التي تحتاج إلى فتحات كبيرة وتُلحق الكثير من الضرر بالأنسجة والأعصاب وتتطلب فترات استشفاء طويلة؛ مضيفًا أن العملية التي استمرت لنحو 4 ساعات، تكللت -ولله الحمد- بنجاح كبير؛ حيث غادر المريض بصحة جيدة المستشفى بعد 3 أيام.. ووفقًا للفحوصات اللاحقة للعملية؛ فإن حالته تتحسن باضطراد.
وحذّر د.البوعلي من إهمال إصابات الجنف وبيّن أنها يمكن أن تتسبب في مضاعفات خطيرة، أبرزها: ضغط القفص الصدري على الرئتين والقلب والتسبب في آلامهما، علاوة على ظهور مشكلات الظهر وآلامه المزمنة، بالإضافة إلى تغيير مظهر وقوام المصاب، ودعا الذين تظهر لديهم أعراض انحراف العمود الفقري، إلى التوجه فورًا إلى المستشفيات والمراكز المتخصصة التي تتوفر فيها الكوادر المؤهلة والأجهزة الطبية المتقدمة.