

تمكن مستشفى الدكتور سليمان الحبيب بالخبر، بفضل الله ، من إعادة قدرة المشي لشاب يبلغ من العمر 15 عاماً، عبر إجراء عملية معقدة ونادرة لتطويل عنق مفصل الفخذ وتعديل ميلان الحوض وإنهاء معاناة استمرت 10 سنوات. هذا ما أوضحه الدكتور عبدالرحمن الرفاعي استشاري طب وجراحة العظام والمتخصص في التشوهات العظميه والحوادث وجراحات الحوض ومفصل الورك المتقدمة، رئيس الفريق الطبي المعالج.
وقال الدكتور الرفاعي أنه فور وصول الشاب للعيادة، تم الإستماع إلى شكواه والإطلاع على تاريخه المرضي وإجراء الكشف السريري، وتبين أنه عاني لسنوات من عدم القدرة على المشي بدون العكازات، مع وجود تشوه في الشكل العام أثناء الحركة. كما اتضح أن السبب في المضاعفات وجود خلع ولادي نتج عنه هذا التشوه، وقد خضع الشاب وهو في سن 3 سنوات إلى عملية لإصلاح الخلع بالوركين، نتج عنها تموت عظم رأس مفصل الفخذ بكلا الجهتين، والذي نتج عنه تباعا تشوه دائم بعظمة رأس الفخذين وتغير بميكانيكية حركة مفصل الوركين.
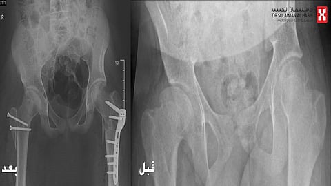
مفيداً بأنه تم إخضاعه لفحوصات بالرنين المغناطيسي (M.R.I) والتصوير المقطعي (C.T Scan) والأشعة السينية الرقمية (Digital X-rays) ، والتي حددت بدقة عالية وجود ميلان حاد بالحوض وقصور في حركة مفصل الوركين واختلاف طول الفخذين، موضحاً أن الفريق الطبي عقب دراسته للحالة قرر التدخل الجراحي، وذلك للحيلولة دون إصابته بمزيد من الميلان في عظم الحوض وخطورة الاصابة بخشونة مبكره وجنف العمود الفقري الثانوي.
وأوضح الدكتور الرفاعي أن العملية استغرقت 5 ساعات متواصلة تحت التخدير العام، وتم فيها عمل خلع جراحي لمفصل الورك بعملية معقدة تعرف بأسم ( procedure Modified DUNN)، تبع ذلك إجراء عزل للشرايين المغذية لرأس عنق الفخذ الأيسر وتطويل رقبة الفخذ النسبي، بالإضافة إلى ترميم كامل مفصل الوركين وإعادة استقامة عظم الحوض.
مشيراً إلى أن جهود الفريق الطبي تكللت بالنجاح ولله الحمد، إذ تحسنت المؤشرات الحيوية للشاب منذ الساعات الأولى للعملية وخرج من المستشفى بعد 4 أيام وهو بصحة جيدة، مع إلزامه بإتباع برنامج علاج طبيعي تأهيلي يبدأ بعد 6 أسابيع من الجراحة، ويستمر لمدة 8 أسابيع كاملة وذلك لتقوية العضلات والأربطة، مؤكداً على أن الشاب حضر للعيادة بعد 3 أشهر، وهو يمشي بصورة طبيعية دون الحاجة إلى العكازات.