

أعاد مستشفى الدكتور سليمان الحبيب بالخبر، القدرة على المشي لمراجعة ثمانينية، عانت من احتكاك حاد في الركبتين مع تآكل شديد في الغضروف، بعملية متقدمة لاستبدال مفصل الركبة باستخدام تقنية الروبوت "Robotic surgery" ، وأنهت العملية معاناتها مع الأعراض الحادة التي أقعدتها على الفراش وعلى كرسي متحرك.
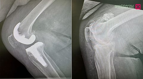
وقال د. محمد سكيك استشاري جراحة العظام والمفاصل، رئيس الفريق الطبي المعالج، أن المرأة راجعت المستشفى وهي على كرسي متحرك، وتشكو من طيف متنوع من الأعراض الحادة، أبرزها عدم القدرة على الحركة والنوم بسبب الآلام الحادة وانتفاخ المفصل وتقوس بالساق، وأجريت لها عدة فحوصات كالتصوير بالأشعة السينية، وبينت النتائج وجود خشونة حادة في مفصل الركبة وتآكل بالغضاريف.
وأضاف د. سكيك الحاصل على الزمالة البريطانية والكندية، أن المراجعة أجريت لها عملية متقدمة، باستخدام تقنية الربوت الجراحي، بدأت بتزويد النظام بالمعلومات الخاصة بها، بالإضافة إلى قياسات مفصل الركبة، وتفاصيل مفصل الركبة الصناعي المراد زرعه، وهي إجراءات تمنح الحالة في النهاية نتائج تعافي عالية الدقة، بما يتناسب مع بنية الركبة والأنسجة المحيطة بها، وأجريت العملية تحت التخدير النصفي، وتم فيها تصحيح التقوس الحاد باستخدام دعامة لتعويض تصلب وضعف الأربطة، ومن ثم استبدال مفصل الركبة بآخر صناعي نوعي، مناسب للحالة. استغرقت العملية نحو "90" دقيقة، وتكللت ولله الحمد بالنجاح التام، وتمكنت المراجعة من المشي بعد "3" ساعات من العملية، وغادرت المستشفى بعد "4" أيام، وهي بحالة صحية جيدة، وبذلك تخلصت من كافة الأعراض التي عانت منها طوال السنوات الماضية.
ويعد الروبوت الآلي أحدث وأنجع تقنية أنتجتها التكنولوجيا الطبية في مجال استبدال مفصل الركبة وتتميز عملياته بأنها الأقرب إلى المفصل الطبيعي من حيث الدقة والثبات والتوازن والمرونة، ما يضمن المحافظة على الأنسجة المحيطة بالركبة، وتضمن التقنية كذلك عمراً أطول للمفصل الصناعي، إضافة إلى أنها تقلل من آلام ما بعد العملیة، وفترتي التشافي والتنويم بالمستشفى.