

بفضل من الله نجح مستشفى الدكتور سليمان الحبيب بالقصيم، في إنقاذ حياة مراجع بالعقد السادس من العمر، وصل قسم الطوارئ بعد منتصف الليل في حالة حرجة؛ إذْ كان يشكو من آلامٍ حادَّة ومتفاقمة بالبطن ممتدّة إلى الكتف الأيمن منذ 5 أيام، ناتجة عن إصابته بنزيف حادٍّ ونشط بأحد شرايين الكبد؛ هذا ما ذكره الدكتور عبدالعزيز الغراس استشاري قسطرة الأوعية الدموية والأشعة التشخيصية والتداخلية، رئيس الفريق الطبي المعالج، الحاصل على الزمالة الأمريكية والبورد الكندي.
وقال الدكتور "الغراس": إنه فور وصول المراجع للطوارئ، تمّ إخضاعه لفحوصات بالأشعة الصوتية "Ultra Sound" على البطن وعمل التحاليل المخبرية، والتي أبانت وجود تجمع كبير للسوائل بالمنطقة العلوية من البطن، مع ارتفاع شديد في ضغط الدم؛ حيث تمّ إعطاؤه الأدويةَ التحفظية اللازمة، تبع ذلك استدعاء فريق طبي مكون من استشاريي الأشعة التداخلية والطوارئ والعناية المركزة، وكذلك أطباء التخدير لدراسة الحالة، ومن ثم إخضاع المراجع للتصوير بالأشعة المقطعية "C.T Scan".
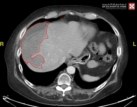
كما أفاد بأنّ نتائج الفحوصات أكّدت وجود نزيف حادّ بالجزء العلوي من الكبد، ناتج عن التوسع بالأوعية الدموية، أو ما يُعرف طبيًّا باسم "تمدد الأوعية الدموية الكاذب - Pseudoaneurysm"، وعقب الانتهاء من دراسة كافة النتائج، تمّ تحويل المراجع لوحدة القسطرة والأشعة التداخلية؛ لإجراء التدخل الطبي بالقسطرة، والذي استغرق "50" دقيقة فقط، تحت التخدير الموضعي، وتم فيه عمل فتحة صغيرة لا تتجاوز "2" ملم في شريان الفخذ، عن طريق استخدام جهاز ملاحة الأشعة التداخلية؛ إذ تم الوصول إلى شريان الكبد النازف، والسيطرة عليه وإيقاف النزيف، عن طريق أدوات طبية متقدمة مكونة من لفائف طبية خاصة مصنوعة من مادة "التيتانيوم"، والمخصصة لمثل هذه الحالات الطارئة.
مشيرًا إلى أنه عقب الجراحة نقل المراجع إلى وحدة العناية المركزة "I.C.U"، مع وضعه تحت الملاحظة على مدار الساعة، وقد أبانت مؤشراته الحيوية تحسن حالته وانضباط نسب ضغط الدم والهيموجلوبين، وخلال 48 ساعة حوّل إلى جناح التنويم، وتلقّى رعاية طبية على مدار يومين خرج بعدها إلى منزله وهو بصحة ممتازة، بعد انتهاء كافة الأعراض السابق ذكرها ولله الحمد.
الجدير بالذكر أن وحدة الأشعة التداخلية بمستشفى الدكتور سليمان الحبيب بالقصيم، عالجت العديد من الحالات الطبية المعقدة؛ حيث تعدُّ واحدة من الإجراءات الطبية الدقيقة والحديثة التي تتمّ بطريقة غير جراحية، وتستخدم تقنيات التصوير الطبي مثل "الأشعة السينية أو الموجات الصوتية أو الأشعة المقطعية أو الرنين المغناطيسي" في اكتشاف وتحديد المشاكل الطبية وعلاجها بدقّة عالية. كما أن التدخلات بالأشعة التداخلية تتّسم بأنها أكثر أمانًا على حياة المرضى، وأقلّ من حيث المخاطر والمضاعفات الطبية.