

نجح مجمع الدكتور سليمان الحبيب الطبي بالعليا، في إجراء عملية جراحية معقّدة لإعادة قدرة المشي والحركة لمريض يبلغ من العمر 43 عامًا، وذلك بعد معاناة طويلة، شعر خلالها بآلام حادّة، والاستعانة بالأدوية المسكنة بصورة يومية، فضلًا عن المشاكل التي قابلها عند المشي، واستخدام العكازين للمساعدة بالحركة؛ الأمر الذي أثّر بالسلب على حياته وأداء مهامه الاعتيادية؛ ذكر ذلك الدكتور يوسف بن توفيق خوجة، استشاري جراحة العظام واستبدال المفاصل والإصابات الرياضية، الحاصل على الزمالة الكندية في استبدال المفاصل والإصابات الرياضية والمناظير، رئيس الفريق الطبي المعالج.
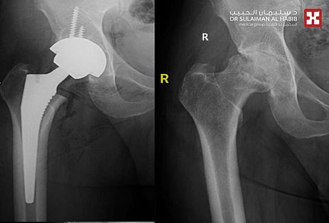
والذي أضاف أن المريض وصل للعيادة مستعينًا بعكازين؛ حيث تم الاستماع إلى شكواه، وعمل الفحص السريري، تبعه إجراء حزمة من التحاليل المخبرية والفحوصات بالأشعة السينية الرقمية "Digital x-ray". وقد أبانت النتائج بدقة وجودَ خشونة شديدة من الدرجة الرابعة وتنخر في رأس مفصل الورك، بالإضافة إلى حدوث تيبُّس وهبوط في المفصل مسببًا قصر طول في الساقين وعدم الاتزان أثناء المشي.
وقال الدكتور خوجة: إن الفريق الطبي المعالج قام بعمل دراسة وافية للتاريخ المرضي، وكافة نتائج الفحوصات، وقرّر التدخل جراحيًّا لوقف معاناة المريض وعودته لحياته الطبيعية، وذلك عبر اتباع تكنيك جراحي حديث "SPAIRE TECHNIQUE"، الذي يتميّز باستبدال مفصل الورك دون الحاجة إلى قطع أوتار عضلات الورك الخلفية، مقارنة بما يحدث في العمليات التقليدية.
مفيدًا بأن العملية استغرقت ساعة وأربعين دقيقة، وتم فيها عمل فتح جراحي بسيط في منطقة الورك الخلفية وفق التكنيك الحديث، ومن ثم معالجة قصر الطول واستبدال مفصل الورك بآخر جديد يتميّز بالجودة العالية والعمر الطويل من الاستخدام، مصنوع رأسه من مادة السيراميك المطور وجذر معدني.
وقال الدكتور خوجة: إن الجراحة تكلّلت بالنجاح ولله الحمد؛ حيث نقل المريض لجناح التنويم واستطاع المشي التدريجي بعد 4 ساعات فقط من انتهاء مفعول التخدير دون مساعدة الفريق الطبي، وبدا بالاعتماد على نفسه بالمشي دون عكاز في اليوم الثاني للعملية، موضحًا أنه خرج من المستشفى في اليوم الثالث وهو بصحة جيدة، وعاد لممارسة حياته بصورة طبيعية.