

بفضل من الله- أنهى مستشفى الدكتور سليمان الحبيب بالمحمدية في جدة معاناة فتاة عمرها "14" عاماً، مصابة بانحراف مزدوج "جنف" ومتطور في العمود الفقري، ونجح الفريق الطبي الذي قاده د. صلاح الدين خليفة استشاري جراحة العظام والعمود الفقري، ورئيس قسم جراحة العظام و جراحة العمود الفقري، في إجراء عملية معقدة استمرت زهاء الـ"6" ساعات، تمكن خلالها، وبفضل من الله من تقويم العمود الفقري وتثبيت ودمج الفقرات.
وقال د. خليفة أن المراجعة قدمت إلى المستشفى وهي تشكو من انحناء جانبي للعمود الفقري منذ فترة طويلة، وعانت مؤخراً من أعراض متزايدة الحدة، أدت إلى تقييد حركتها وتغيير نمط حياتها، فراجعت مستشفى الدكتور سليمان الحبيب بالمحمدية.
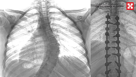
وأجرى لها الفريق الطبي، حزمة من التحاليل والفحوصات الطبية الدقيقة، التي أظهرت إصابتها بحالة انحراف "جنف صدري" بدرجة الـ"47" للفقرات الصدرية وقطني بدرجة "50"، ودرس الفريق الطبي الحالة على ضوء نتائج الفحوصات والتحاليل، وخلص إلى ضرورة التدخل الجراحي لعلاج العيوب، والحد من المضاعفات، وأخضعت الفتاة لعملية جراحية، تم فيها تقويم العمود الفقري وتثبيت ودمج الفقرات، باستخدام "22" من البراغي والقضبان المعدنية، والطعوم العظمية الصناعية، واستمرت العملية لـ"6" ساعات متصلة، وشارك فيها فريق تخدير متمرس وفريق تمريض ماهر، واستخدمت فيها مجموعة من أحدث الأجهزة الطبية، كجهاز مراقبة الأعصاب، وأمضت المراجعة ليلة واحدة تحت المراقبة بالعناية المركزة، ومن ثم نقلت إلى جناح التنويم بعد العملية، حيث بدأت في التحسن بشكل متسارع إذ استطاعت الوقوف والمشي خلال "24" ساعة، مع فريق العلاج الطبيعي المتمرس، كما أن طولها مع النجاح الكبير للتعديل زاد بضع سنتيمترات، وخرجت من المستشفى وهي بصحة جيدة.
الجدير بالذكر أن مستشفى الدكتور سليمان الحبيب بالمحمدية في جدة، يعد الأحدث والأكبر في القطاع الصحي الخاص بمحافظة جدة، ويعمل بالنظام الرقمي المتكامل، إذ أنه يستخدم تقنيات الاتصال والذكاء الاصطناعي والأنظمة الصحية الإلكترونية، التي تساعد في تعزيز جودة الخدمات، ويضم أفضل الكوادر الطبية، بالإضافة إلى أنه مجهز بأحدث الأجهزة والمعدات الطبية.