

تمكن مستشفى الدكتور سليمان الحبيب بالمحمدية في جدة، من إجراء عملية دقيقة لإستبدال مفصلي الركبة لمراجعة تبلغ من العمر 67 عاماً، وتمكنت من استعادة قدرتها على المشي وأداء مهامها اليومية. ذكر ذلك الدكتور فراس البديرات استشاري طب وجراحة العظام ومفاصل الركبة والورك وجراحات الكاحل والقدم، رئيس الفريق الطبي المعالج، الحاصل على الزمالة البريطانية من مستشفي جامعة نيوكاسل.
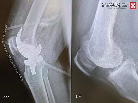
والذي أضاف بأنه عند وصول المراجعة للمستشفى قادمة من مدينة الطائف، تم الإستماع إلى شكواها والإطلاع على ملفها الطبي وإجراء الفحص السريري، وتبين أنها تشكو من ألم حاد في الركبتين يعيق حركتها مع وجود انتفاخ شديد بالمفصلين، وأن قدرتها على المشي لا تزيد عن دقائق محدودة، بالإضافة إلى شعورها بالإزعاج الشديد أثناء النوم. موضحاً أن فحوصات الأشعة السينية الرقمية (Digital X-rays) والتحاليل المخبرية، كشفت عن إصابتها بخشونة شديدة في مفصلي الركبة من الدرجة الرابعة واحتكاك العظم عند المشي، وهو الأمر الذي نتج عنه شعورها بالآلام الشديدة.
مؤكداً على أنه تم وضع خطة علاجية تتضمن التدخل الجراحي العاجل لإنهاء نوبات الألم، وذلك عبر فريق طبي مكون من الدكتور سعود المسلماني استشاري جراحة العظام وأطباء التخدير والتمريض والعلاج الطبيعي، وعقب الإنتهاء من اتخاذ كافة التدابير اللازمة لصحة وسلامة المراجعة، تم إخضاعها لعملية جراحية دقيقة استغرقت 3 ساعات ونصف تحت التخدير العام، وتم فيها استبدال مفصلي الركبتين بمفاصل صناعية متطورة مصنوعة من مادة الكوبالت كروم، وهي من أكثر المفاصل الصناعية نجاحاً واستخداماً بالعالم، والتي تتميز بالعمر الطويل وإعطاء أعلى مدى للحركة بعد العملية، بحيث أن المراجعة تستطيع المشي والصعود والهبوط من الدرج.
وأكد الدكتور فراس البديرات على نجاح جهود الفريق الطبي المعالج، إذ تبين تحسن المؤشرات الحيوية للمراجعة بعد الجراحة، واستطاعت المشي في اليوم الثاني بمساعدة العلاج الطبيعي، كما تم اخضاعها لبرنامج تأهيلي لما بعد العمليه، مضيفاً بأنها راجعت العيادة بعد 14 يوم من الجراحة وهي بصحة جيدة ولله الحمد.