

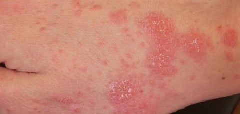
شهدت الفترة الأخيرة ارتفاعًا كبيرًا في عدد الإصابات بمرض الجرب في مدينة إسطنبول، مقارنة بالمدن الأخرى التي انتشر فيها المرض من فترة بشكل متسارع.
وأكدت تنسيقية غرف المهن الصحية في إسطنبول، أن هناك زيادة كبيرة في وقائع الإصابة بمرض الجرب في المدينة، داعية أهالي المدينة لتوخي الحذر.
ونشرت التنسيقية التي تضمّ غرفة أطباء إسطنبول، وغرفة الصيادلة، وغرفة الأطباء البيطريين، وغرفة أطباء الأسنان؛ بيانًا كتابيًّا، بحسب زمان التركية؛ لتحذير أهالي إسطنبول من اتساع دائرة الإصابة بالمرض، مشيرة إلى أنه يزداد انتشارًا في فصل الشتاء ويمكن انتقاله من شخص لآخر.
ووفق صحيفة زمان التركية: حذر البيان من أن المرض يمكنه الانتقال من خلال الملامسة باليد، أو استخدام السرير نفسه خلال مدة تتراوح بين 15-20 دقيقة، موضحة أن أعراض الإصابة بالمرض تظهر خلال 3-6 أسابيع من الإصابة به.
وكانت وزارة الصحة التركية حذرت في 16 ديسمبر الجاري من انتشار مرض "الجرب" في عدد من المدن التركية، ودعت المواطنين في حالة ظهور أعراض المرض عليهم إلى التوجه للمستشفيات على الفور.
من جهة أخرى حذّر الصيادلة الأتراك من عدم توافر الأدوية الخاصة بعلاج مرض الجرب. بينما أوضحت وزارة الصحة أن هناك 368 ألف عبوة دواء لعلاج مرض الجرب في عموم المحافظات التركية.